顔の歪みの原因は
鏡で自分の顔を見ると、左右非対称だと気がつきます。赤ちゃんの時は左右対称だったはずの顔が大人になるにつれて歪みが生じ、左右非対称になってしまいます。
顔を歪ませる原因は様々ですが、原因の一つに態癖があります。
態癖とは日常生活の中で、無意識にしている癖のことです。
頬杖をつく、横向きで寝る、うつ伏せで寝る、唇を噛むなど人により様々あると思います。
その些細な癖が長く続くことで歯並びが悪くなったり、顎関節症がおこったり、顎・顔面・全身の歪みなどが生じます。

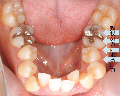
例えば、頬杖をしている人の歯並びはこのように変形してしまいます。

意外と態癖をやっている方も多いのではないでしょうか?
意識してやめるように努力していくことが大切です。
まずは無自覚だった癖に気づくことからスタートです!
2022年08月15日 19:38

