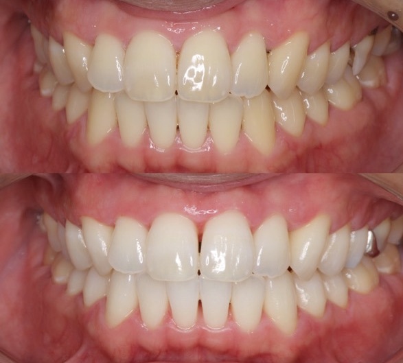
ホワイトニング
自分の歯が黄色いな~と気になったことはありませんか?
男性も女性も歯が白いと爽やかで清潔感があり、とても素敵な印象を受けます。
白い歯は相手に与える第一印象がとても良く、好印象を与えることができます。
初めて会う人の場合にはとても効果的です。歯を白くすることで印象が変わります。

そこでご紹介させて頂くのが、ホワイトニングです。
ホワイトニングには2種類の方法があります。
①ホームホワイトニング

・型取りをしてマウスピースを作製し、ご自宅で3週間程度ホワイトニングを行います。
・1日1時間程度装着します。ホワイトニングジェルを合計6本お渡しします。
・1年程度で徐々に色戻りします
・マウスピースは一度作れば、将来何度でも利用できるので経済的です。
・白い歯をキープするためには1 度だけでなく、定期的なホワイトニングが必要です。
髪に例えるとカラーリングしたら数か月後に染め直す必要があることと同じです。
治療費 33,000円(税込)(マウスピース+ジェル6本付き)
追加ジェル 2本組 2,500円(税込)(1週間分)
②オフィスホワイトニング

・型取り不要で、歯科医院にて90分程度の施術で歯を白くします。
・3回コースを行っております。
・手軽さと即効性が魅力ですが、ホームホワイトニングの方が白くなります。
・短時間で歯を白くするのでホームホワイトニングに比べ色戻りが早いです。
半年程度で徐々に色戻りします。
・白い歯をキープするためには1 度だけでなく、定期的なホワイトニングが必要です。
治療費 49,500円(税込)(3回コース)
フォローアップ 1回16,500円(税込)
ご興味のある方はお気軽にご相談ください。
神経がない歯のホワイトニングについてはこちら↓
ウォーキングブリーチ https://e.ci2.jp/system/user/preview/frame/pc/93366?blog_article_id=119056
・3回コースを行っております。
・手軽さと即効性が魅力ですが、ホームホワイトニングの方が白くなります。
・短時間で歯を白くするのでホームホワイトニングに比べ色戻りが早いです。
半年程度で徐々に色戻りします。
・白い歯をキープするためには1 度だけでなく、定期的なホワイトニングが必要です。
治療費 49,500円(税込)(3回コース)
フォローアップ 1回16,500円(税込)
ご興味のある方はお気軽にご相談ください。
神経がない歯のホワイトニングについてはこちら↓
ウォーキングブリーチ https://e.ci2.jp/system/user/preview/frame/pc/93366?blog_article_id=119056
2022年11月12日 15:50

